Morre gato atingido por tiro de chumbinho na Zona Sudoeste do Rio
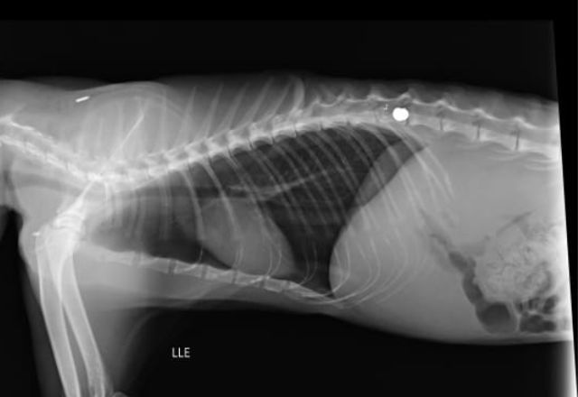
Animal estava internado há uma semana e precisava passar por cirurgia para tentar reverter danos causados pelo projétil, que atingiu a coluna

Isabella Antais
do SBT Rio
Morreu na manhã desta sexta-feira (17) o gato que havia sido internado em estado grave após ser atingido por um tiro de chumbinho em Vargem Pequena, na Zona Sudoeste do Rio de Janeiro. Batizado de Samuel pela equipe que o resgatou, o animal não resistiu aos ferimentos, apesar dos esforços realizados pelos veterinários.
O caso ganhou repercussão há cerca de uma semana, quando moradores da região encontraram o felino ferido e acionaram, de imediato, o protetor Fábio Mendonça. Ele foi responsável pelo socorro e encaminhamento de Samuel a uma clínica veterinária na Praça Seca, também na Zona Oeste.

O gato chegou à clínica com anemia e precisaria passar por uma cirurgia bastante delicada para tentar reverter os danos causados pelo projétil, que atingiu a coluna. No entanto, seu estado de saúde se agravou nos últimos dias e ele acabou não resistindo.
A história de Samuel reacende o alerta para os casos de maus-tratos contra animais. Segundo dados do programa Linha Verde, do Disque Denúncia, desde 2013 já foram registradas 6.896 denúncias desse tipo apenas no município do Rio de Janeiro.
Maltratar animais é crime previsto pela Lei de Crimes Ambientais, com pena que pode chegar a cinco anos de prisão em casos que resultam em morte do animal.









